Công nghệ ứng dụng AI độc quyền trong chụp CT
PGS.TS.BS Nguyễn Hải Anh - Nguyên Phó Giám đốc Trung tâm Hô hấp, Bệnh viện Bạch Mai chia sẻ: “Trong quá trình hành nghề trước đây, tôi ít khi chỉ định chụp 1 chùm 4,5,6 cái phim CT, bởi liều tia xạ lớn quá sẽ ảnh hưởng đến sức khoẻ của bệnh nhân. Tôi chỉ chỉ định chụp CT cho những bệnh nhân có nguy cơ cao, đã xuất hiện dấu hiệu bất thường”.

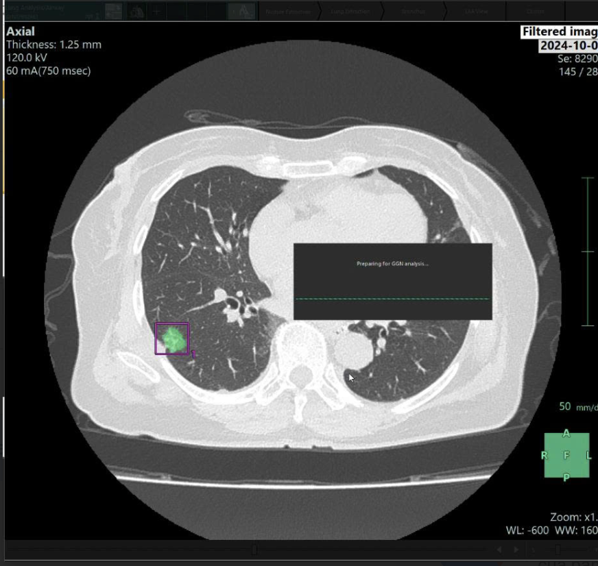
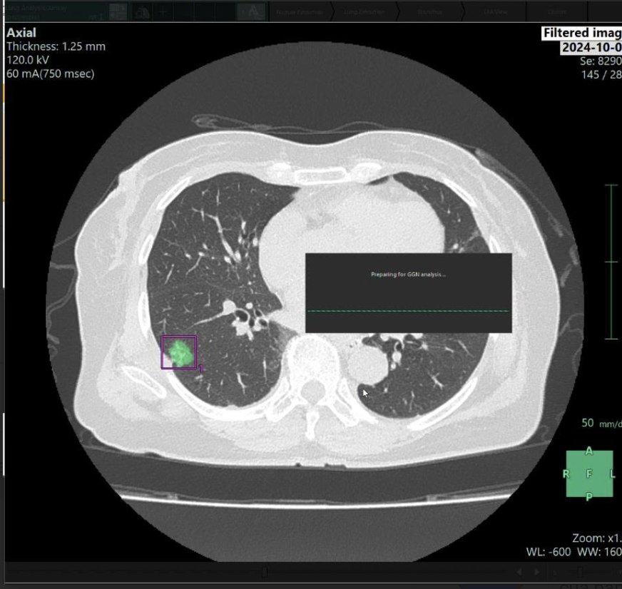
Còn tại Nura, liều tia X đã được giảm đến 97% so với thông thường, đảm bảo an toàn cho cơ thể nên phù hợp để tầm soát định kỳ. Lấy ví dụ thực tế, Ths.Bs Nguyễn Tất Đạt – Bác sĩ chuyên khoa Chẩn đoán hình ảnh tại Trung tâm Nura cho biết: Có khách hàng nữ hơn 40 tuổi, được phát hiện ung thư phổi dù trước đó được chẩn đoán viêm phổi tại cơ sở khác và điều trị suốt một tháng. Nhưng khi đến kiểm tra tại Nura, sau khi được chụp CT (giảm hơn 90% liều tia X khi chụp cả vùng ngực và bụng), hình ảnh vẫn rất rõ nét nhờ AI xử lý nhiễu và khách hàng này may mắn được phát hiện một nốt phổi kích thước 10mm.

Hệ thống AI phân tích hình ảnh và đưa ra cảnh báo: Bờ tổn thương không đều, không rõ các mạch máu, mật độ tế bào cao và tỷ lệ nốt đặc gần 70%. Dựa trên gợi ý từ AI và kinh nghiệm lâm sàng, bác sĩ đã chỉ định sinh thiết. Kết quả xác nhận ung thư biểu mô tuyến phổi giai đoạn 1, đây được coi là thời điểm vàng để điều trị hiệu quả và giảm tối đa nguy cơ di căn.
Chứng nhận FDA Hoa Kỳ, đảm bảo tầm soát an toàn diện rộng
Phần mềm y tế tại Nura được FDA Hoa Kỳ chứng nhận An toàn - Chính xác. Đây là hệ thống do Tập đoàn Fujifilm phát triển, tích hợp Synapse PACS (quản lý và lưu trữ hình ảnh) và Synapse 3D (xử lý, tái tạo và phân tích hình ảnh 3D chuyên sâu), mang lại lợi ích kép: Chính xác và An toàn.

Việc giảm liều tia X đến mức tối đa, đảm bảo chụp CT trở nên an toàn cho người khỏe mạnh tầm soát thường niên mà không cần lo lắng vấn đề phơi nhiễm bức xạ, mở ra cơ hội tầm soát diện rộng với chi phí hợp lý, dễ dàng tiếp cận với người Việt Nam, phát hiện sớm ung thư và tăng khả năng điều trị thành công.
20.000 khách hàng thăm khám - 16.000 trường hợp được phát hiện sớm
Đại diện Nura cho biết, sau hơn một năm hoạt động, Nura Hà Nội đã tiếp nhận gần 20.000 khách hàng. Trong đó: 3.631 trường hợp phát hiện bất thường phổi nhờ CT ứng dụng AI, 12,3% cần thăm khám chuyên sâu. Đáng chú ý, 36% khách hàng có bất thường nằm trong nhóm dưới 35 tuổi, cho thấy nguy cơ bệnh lý đang trẻ hóa mạnh mẽ.
Một trường hợp điển hình khác là bà N.T.N, 70 tuổi (Hà Nội) - không có tiền sử bệnh đặc biệt. Khi tầm soát tại Nura, AI phát hiện tổn thương 7mm ở vú trái, cảnh báo nguy cơ ung thư lên tới 97%. Sinh thiết tại bệnh viện ung bướu xác nhận tổn thương ác tính. Dù hình ảnh ban đầu tổn thương giai đoạn 1A, kết quả giải phẫu bệnh sau mổ chỉ ra khối u đã ở giai đoạn 2, thuộc nhóm tiến triển nhanh. Ca bệnh này khẳng định vai trò quan trọng của AI trong sàng lọc ung thư vú, ngay cả khi chưa có triệu chứng lâm sàng.

Mở rộng cơ sở Nura tại TP.HCM
Nhằm tăng cường phát hiện sớm nguy cơ bệnh lý và mang tầm soát chủ động đến gần hơn với cộng đồng, Nura chính thức mở rộng mô hình tại TP.HCM, kế thừa những năng lực và kinh nghiệm mà Hà Nội đạt được trong hơn 1 năm qua.

Từ đây, hai cơ sở tại Hà Nội và TP.HCM sẽ trở thành hai điểm cầu quan trọng trong việc tầm soát chính xác nguy cơ bệnh, chăm sóc sức khỏe toàn diện cho cộng đồng.
|
NURA Việt Nam là thành quả từ sự hợp tác chiến lược giữa Fujifilm - Tập đoàn hàng đầu thế giới về công nghệ y tế, và Trung tâm Y khoa Nhật Bản T-Matsuoka - đơn vị tiên phong trong lĩnh vực tầm soát và phát hiện sớm ung bướu, đột quỵ chuẩn Nhật. Hotline: 1800 646788 Website: nura.vn Cơ sở 1: Tầng 1, Mipec Tower, 229 Tây Sơn, Kim Liên, Hà Nội Cơ sở 2: Tầng 2, Thảo Điền Pearl, 12 Quốc Hương, An Khánh, TP. HCM |
(Nguồn: Nura Việt Nam)










