Bệnh nhân L.V.T (35 tuổi, Nghệ An) được đưa tới bệnh viện trong tình trạng nguy kịch. Bệnh nhân có tiền sử sinh sống và làm việc tại Thái Lan – khu vực lưu hành bệnh Whitmore cao.
Theo gia đình, khoảng năm tuần trước khi về Việt Nam, bệnh nhân xuất hiện sốt cao liên tục, khó thở, kích thích nhiều, phải nhập viện cấp cứu tại một cơ sở y tế ở Thái Lan.
Tại đây, bệnh nhân được đặt nội khí quản thở máy; kết quả cấy máu xác định nhiễm Burkholderia pseudomallei – tác nhân gây bệnh Whitmore. Dù được điều trị ban đầu, tình trạng vẫn diễn tiến nặng nên gia đình xin chuyển bệnh nhân về Việt Nam để tiếp tục điều trị.
Chỉ sau ít ngày, người bệnh rơi vào sốc nhiễm khuẩn, suy đa tạng, sốt cao liên tục, rối loạn ý thức và được chuyển gấp ra Khoa Cấp cứu – Bệnh viện Bệnh Nhiệt đới Trung ương.
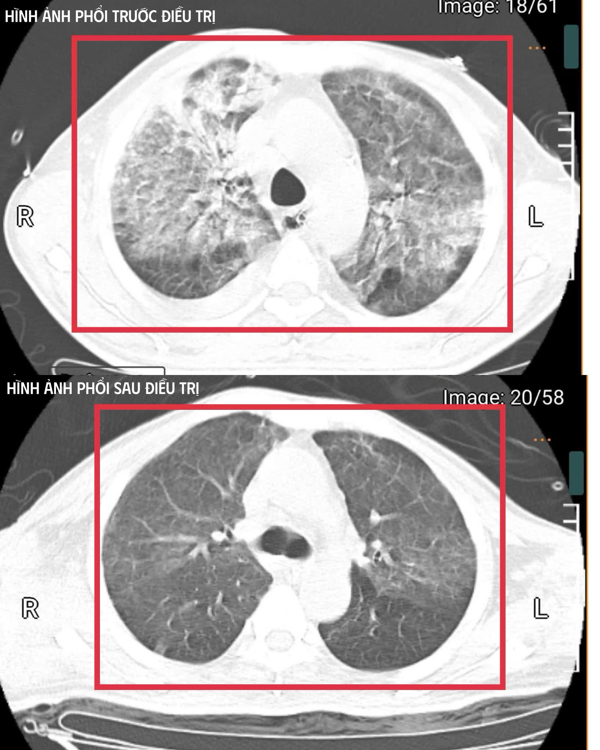
Phổi bệnh nhân trước và sau điều trị (ảnh BVCC).
Khoảnh khắc căng thẳng
ThS.BSNT Nguyễn Kim Anh (Khoa Cấp cứu, Bệnh viện Bệnh Nhiệt đới Trung ương) cho biết thời điểm tiếp nhận người bệnh là "khoảnh khắc rất căng thẳng". Bệnh nhân hôn mê sâu, thang điểm Glasgow chỉ còn 9, mất phản xạ đường thở, phụ thuộc hoàn toàn vào máy thở.
Nhiệt độ người bệnh liên tục 41–42°C kèm run cơ toàn thân, gợi ý tình trạng tăng thân nhiệt ác tính trên nền nhiễm khuẩn huyết tối cấp. Xét nghiệm cho thấy men gan và bilirubin tăng cao, rối loạn đông máu, creatinin tăng nhanh kèm vô niệu – biểu hiện của suy gan, suy thận cấp tiến triển.
Nồng độ CK vượt quá 100.000 U/l, kèm đau cơ và nước tiểu sẫm màu, phù hợp với tiêu cơ vân cấp . Các chỉ số viêm như CRP, PCT tăng rất cao, phản ánh tình trạng nhiễm trùng – nhiễm độc toàn thân dữ dội. Trên nền đó, bệnh nhân còn có đái tháo đường chưa kiểm soát và viêm gan C mạn, khiến cơ thể càng suy sụp.
Theo BS Kim Anh, đây là một trong những thể tối cấp của Whitmore – nhiễm khuẩn huyết nặng, suy đa tạng, rối loạn chuyển hoá sâu và có nguy cơ tử vong rất lớn trong thời gian ngắn nếu không được hồi sức tích cực ngay lập tức.
Đội ngũ bác sĩ phải "chạy song song" nhiều can thiệp: an thần sâu để kiểm soát kích thích và bảo vệ não, hạ thân nhiệt chủ động nhằm khống chế tăng thân nhiệt ác tính, thiết lập đường truyền trung tâm, theo dõi huyết động liên tục, điều chỉnh toan–điện giải, phối hợp kháng sinh theo phác đồ điều trị Melioidosis và tiến hành lọc máu liên tục nhiều ngày để hỗ trợ chức năng thận, loại bỏ độc chất và giảm gánh nặng viêm.
Bệnh nhân được cấp cứu thành công.
Sau khoảng ba ngày hồi sức cao độ, bệnh nhân bắt đầu cắt sốt, các chỉ số viêm giảm dần, huyết áp ổn định hơn với nhu cầu vận mạch giảm, chức năng gan thận cải thiện, tri giác dần hồi phục. Người bệnh cai được thở máy qua mở khí quản, tập lại hô hấp tự nhiên và phục hồi vận động.
Trong ba tuần điều trị tích cực tại Khoa Cấp cứu, các bác sĩ tiếp tục tối ưu kháng sinh, kiểm soát chặt chẽ đường huyết, hỗ trợ dinh dưỡng và phục hồi chức năng sớm.
Cảnh báo từ chuyên gia
BS Kim Anh khuyến cáo: "Whitmore là bệnh truyền nhiễm nguy hiểm, có thể gây suy đa tạng và tử vong nhanh, đặc biệt ở những người có bệnh nền như đái tháo đường, bệnh gan mạn hoặc những người làm việc lâu năm trong môi trường đất, nước ẩm" .
Bệnh có thể khởi phát không điển hình với các triệu chứng như sốt kéo dài, mệt mỏi, đau đầu, đau cơ, ho, sụt cân hoặc rối loạn tri giác, rất dễ bị bỏ sót. Người dân có yếu tố nguy cơ hoặc tình trạng sốt kéo dài không rõ nguyên nhân cần đến cơ sở chuyên khoa truyền nhiễm để được xét nghiệm, chẩn đoán và điều trị kịp thời, đồng thời tuân thủ đầy đủ phác đồ kháng sinh kéo dài để tránh tái phát.








